임플란트 후 MRI 찍을수 있나요?
지난해 10월 경에 MRI 촬영하다가 갑자기 산소통이 끼어들어 숨지는 사고가 있었죠. 원래 MRI는 인체 내부 장기와 뼈 등의 영상을 촬영하는 의료 기기로, 강한 자기장을 발생시켜 인체의 단층 영상을 촬영합니다. 그래서 주변에 금속 물품이 있으면 안 되기 때문에 검사를 하기 전에 목걸이, 머리핀, 옷에 금속제품이 없는지 확인하고 모든 금속물질을 빼라고 합니다.
그런데 감자기 요즘 임플란트를 하시는 분들이 많은데 임플란트는 괜찮을까요? 임플란트 하신 분들도 걱정을 많이 하시는 것 같아요. 산소통처럼 큰게 아니니 큰 손상은 없겠지만 MRI 촬영하다가 이빨이 다 뽑히는 것 아닐까 걱정이 되기도 합니다.

목차
임플란트 후 MRI 찍을 수 있나요?
결론적으로 이야기하면 입 안에 임플란트, 금니, 교정장치 등을 하고 있어도 MRI 찍을 수 있습니다. 하지만 찍기 전에 일부 장치는 제거해야 할 수도 있습니다. 왜냐하면 이 장치들이 위험하지는 않지만 영상이 제대로 안 나올 수도 있기 때문입니다.

MRI는 Magnetic Resonance imaging 으로 자기공명영상 촬영장치입니다. 즉 자기장과 공명의 원리를 이용해서 영상을 촬영한다는 의미입니다. 아래와 같이 MRI라는 원통형 기계 속에 누워 있으면 촬영이 되는데 마치 우리 몸을 단면으로 잘라서(?) 우리 몸 안까지 자세하게 관찰할 수 있게 되는 것입니다.

우리 몸의 70% 정도는 물로 이루어져 있습니다. 물 분자는 아시다시피 수소 원자 2개와 산소 1개로 이루어져 있습니다. 수소원자의 핵인 양성자는 아주 작은 자석과 같은 성질을 갖고 있습니다. 그래서 강한 자기장 안에 들어가면 이 양성자들은 나침반처럼 나란히 줄을 서게 됩니다. 초등학교 과학실험에서 철가루 주변에 자석을 가져다 댔을 때처럼 자석의 N극과 S극 주변으로 철가루가 나란히 늘어서는 것과 같은 현상이 나타납니다. 이때 양성자에 강한 고주파(전자기파)를 쏴주면 이 양성자들이 몸속에 어는 위치에 있는지에 따라서 각각 다른 파장으로 공명, 즉 진동을 하게 됩니다. 그 파장을 관찰하면 근육인지, 뇌조직인지, 뼈조직인지 등을 파악해서 영상으로 재구성하는 것입니다.

MRI는 이처럼 강한 자석의 힘을 사용하기 때문에 MRI 근처에 금속 물질이 있으면 MRI 기계에 달라붙게 되어 아주 위험합니다.

그렇다면 우린 몸 안에 자석에 붙는 금속 물질이 있다면 어떻게 될까요? 큰일 나겠지요? 자기장에 의해 MRI 붙어 버릴 수 있기 때문에 몸 안의 금속들이 MRI 쪽으로 몸을 뚫고 나올 수도 있을 것이기 때문입니다. 하지만 다행히 우리 몸에 사용되는 금속들(의료용 보철물이라고 합니다)은 대부분 자석에 붙지 않는 금속을 사용합니다. 치과의 경우 크라운, 인레이, 아말감 등 모두 괜찮다고 합니다. 교정을 할 때 보면 모두 금속재질 같은데요. 그리고 임플란트를 보면 아래 사진처럼 스크류 부분이 금속처럼 보이지만 티타늄이라고 합니다. 그래서 자석에 붙지 않는다고 합니다. 아주 간혹 자석에 영향을 받는 부분이 있을 수 있지만 워낙 작고 가벼운 것들이라서 힘을 거의 받지 않아서 위험하지 않다고 합니다. 임플란트를 어려 개 한 어르신들이 늘어나고 있는데요. 임플란트에 사용되는 금속은 자석에 붙지 않는 티타늄을 사용하기 때문에 MRI 촬영이 가능합니다.

무릎이나 인공 고관절 수술, 턱 관절 수술 같은 경우에도 티타늄이나 자석에 붙지 않는 합금이 사용되기 때문에 안심해도 된다고 합니다. 하지만 아주 예전에 수술을 한 경우에는 자석에 붙는 금속을 사용하기도 했었다고 하니, 촬영 전에 꼭 의사 선생님과 확인하시기 바랍니다. MRI 촬영을 하기 전에 금속 탐지기 등을 사용해서 확인할 수 있다고 합니다.
위험하지는 않지만 몸 속의 금속을 꼭 제거하고 MRI를 찍어야 할 때도 있습니다. 왜냐하면 영상이 제대로 안 찍힐 수가 있기 때문입니다. MRI 촬영에 사용되는 자기장이나 전자기파가 금속 주변에서 방해를 받아서 영상이 제대로 나오지 않게 되어 검사의 의미가 없어지기 때문입니다. 아래는 뇌 영상 사진인데 화살표 부분이 비어 있는 것처럼 영상이 안 보이게 되는 것처럼 제대로 몸 안을 확인하지 못하게 됩니다.

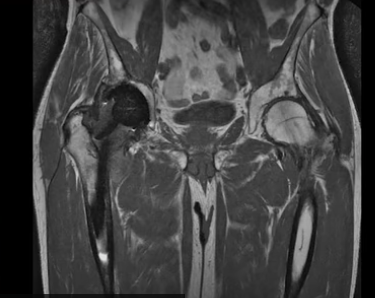
임플란트나 관절 수술에 사용된 금속 때문에 실제로 확인하고자 하는 병변 부위를 확인할 수 없는 경우가 있습니다.

고관절 수술부위가 금속때문에 까맣게 보이기도 합니다.

그렇기 때문에 목 아래 부분의 인체를 확인하기 위해 MRI 검사를 할 때는 임플란트나 교정 장치가 있어도 별로 상관이 없을 수 있습니다. 하지만 뇌나 얼굴, 구강 등의 MRI 촬영에서는 그 부분들이 정확히 보여야지만 정확한 진단을 할 수 있으므로 미리 시술받은 치과 의사와 상의하여 필요하다면 교정장치나 임플란트를 제거하고 촬영해야 할 수도 있습니다.
기타 MRI 촬영 전 주의
MRI 촬영 기전과 인체에 사용하는 의료용 보철물과의 관계를 알아보았습니다. 이처럼 인체 내 금속뿐만 아니라 몸 밖의 금속도 모두 제거해야 합니다. 금속재질이 없는 옷으로 갈아입고, 목걸이, 귀고리, 머리핀, 시계 등등 모두 제거해야 합니다. 그리고 구강에 끼었다 뺐다 하는 교정 장치나 틀니는 반드시 제거하고 촬영해야 합니다.
심장에 부정맥 등으로 인공심장박동기를 갖고 계신 분들도 주의해야합니다. 예전에 사용하던 심장박동기는 MRI 기계 안에서 오작동을 발생시켰기 때문에 꼭 필요한 경우가 아니면 MRI 촬영을 하지 못했습니다. 하지면 10년 전쯤부터 MRI 촬영이 가능한 인공 심박기가 사용되고 있다고 합니다.

그리고 임플란트 중에서 임플란트 지지 틀니(오버덴쳐)를 사용하는 경우 임플란트와 틀니를 자석을 사용하여 붙이는 경우가 드물게 있다고 하는데 이런 경우 MRI촬영을 하기 전에 자석을 제거해야 한다고 합니다.
나이가 들어가면서 임플란트, 틀니를 하는 경우도 많고, 또한 뇌 질환도 증가하는 나이이므로 뇌 MRI촬용을 하게 되는 상황도 늘어나게 될 텐에요. 혹시 임플란트, 틀니 등을 하게 되면 시술하시는 치과 선생님에게 MRI 촬영에 문재 없는 재질인지 확인을 해두는 것도 좋을 것 같습니다.
정리
MRI는 방사능에 노출되지 않고도 우리 몸 안을 자세하고 정확하게 관찰할 수 있는 첨단 장비입니다. 하지만 좁은 통 안에서 최소한 30분~1시간 가량 정도 움직이지 않고 있어야 하고, '따닥따닥, 우르륵, 쿵쿵' 이상한 소리가 들려서 이를 방지하기 위해 귀마개를 주지만 그래도 소리가 크게 들립니다. 그래서 폐쇄 공포증이 있거나 불안감이 심한 환자는 촬영에 어려움이 있을 수 있습니다. 저도 종합검진을 하면 뇌 MRI를 촬영해보았는데 기분 좋은 경험은 아니었습니다.
임플란트도 뇌 촬영을 안해도 되는 건강한 삶을 기원하며 마칩니다.
참고: 치대남
